Als Lungenemphysem, Emphysem (der Lunge) oder (chronische) Lungenblähung wird eine irreversible Überblähung der kleinsten luftgefüllten Strukturen (Lungenbläschen, Alveolen) der Lunge bezeichnet. Es ist der gemeinsame Endpunkt einer Reihe von chronischen Lungenerkrankungen.
Pathogenese
Eine Theorie ist, dass es durch verschiedene Schadstoffe (Tabakrauch, Silikate, Fein- und Quarzstaub) oder durch körpereigene Proteasen (beim Alpha-1-Antitrypsin-Mangel) zu entzündlichen Veränderungen des Lungengewebes kommt. Die folgende Ansammlung von Leukozyten setzt Proteasen frei, eingeschlossen Elastasen. Diese zerstören die elastischen Fasern der Lunge. Weiterhin inaktivieren Sauerstoffradikale Alpha-1-Antitrypsin, das normalerweise Elastase und andere Proteasen inaktiviert. Zusätzlich erhöht sich der Druck von außen auf die Bronchiolen (kleine Bronchien), die dann beim Ausatmen kollabieren, so dass die in den Alveolen enthaltene Luft gefangen bleibt (trapped air). Die Folge ist eine Überblähung der Lungen mit erhöhtem Luftgehalt der Lunge. Es gibt aber auch andere Vermutungen.
Damit kann weniger verbrauchte Luft ausgeatmet werden, weniger frische Luft kann einströmen. Im Extremfall werden aus vorher funktionstüchtigen Lungenbläschen große funktionslose „Emphysemblasen“. Endogen kann auch ein persistierendes Asthma bronchiale zu einem Lungenemphysem führen.
Letztlich verliert die Lunge ihre Elastizität und die enthaltene Luft kann nicht mehr vollständig entweichen. Symptome
Generell liegt beim Lungenemphysem, bedingt durch die verminderte Gasaustauschfläche, eine chronische Atemnot vor, anfangs nur bei Belastung, im späteren Verlauf auch in Ruhe (Ruhedyspnoe). Der verminderte Sauerstoffgehalt des Blutes zeigt sich eventuell durch bläulich-rote Verfärbung (Zyanose) der Lippen, Fingerspitzen und Zehenspitzen. Der Hustenmechanismus kann gestört sein.
Der Umfang des Brustkorbes nimmt zu (Fassthorax mit waagerechtem Verlauf der Rippen). Im Spätstadium kommt es zu einer (Rechts-)Herzbelastung.
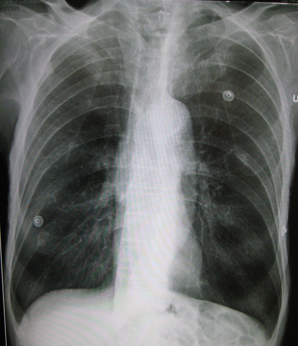
Im Röntgenbild (Röntgen-Thorax) zeigt sich das Lungenemphysem in einer verminderten Dichte des Lungengewebes. Zudem kann ein Tropfenherz ausgebildet sein.
